$100 Off Any Major Work! (Cash Patients Only)

1621 E. Flamingo Rd, Suite 17A, Las Vegas, NV 89119

Veteran Owned Dental Office

Call Us Today To Schedule A Complimentary Consultation!

Smile Gallery

The image shows a close-up view of a person s teeth with noticeable discoloration, likely due to staining or decay.

Before

The image shows a close-up of a person s smiling mouth with white teeth, revealing part of their face.

After

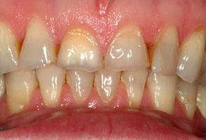
The image shows a close-up of a person s teeth with a focus on the lower front teeth, which appear to be yellowed and stained.

Before

The image shows a close-up of a person s teeth, with the front teeth prominently displayed against a pink background.

After

The image shows a person with an exaggeratedly large smile, revealing straight white teeth and a pink tongue.

Before

A close-up photograph of a man with a wide smile, showcasing his teeth and lips.

After

A close-up of a person s mouth with teeth and gums, featuring a partial denture.

Before

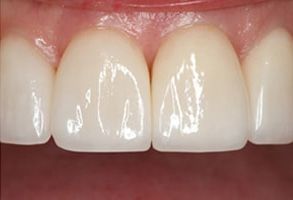
Image of a close-up view of a person s teeth, showcasing a bright smile with white teeth and pink gums.

After

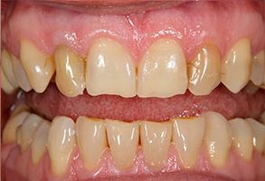
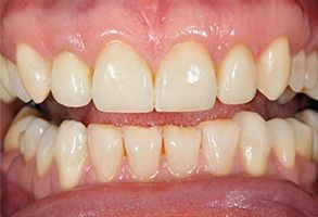
The image shows a close-up of a person s teeth with yellow stains, set against a pink background that suggests a mouth or gum area.

Before

The image displays a close-up of a person s mouth with teeth that have undergone cosmetic dental procedures, specifically involving the alignment and coloration of the teeth.

After

The image displays a close-up of a person s teeth with noticeable discoloration and staining, particularly on the lower front teeth.

Before

The image shows a close-up of a person s teeth, focusing on the lower front teeth which are prominently displayed against a blurred background.

After

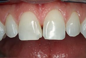
The image shows a close-up of a person s teeth with a focus on a large gap between the front teeth, which appear to be in need of dental repair.

Before

A close-up of a person s teeth with visible staining and discoloration.

After

Office Hours

Monday
9:00 am - 5:00 pm
Tuesday
9:00 am - 5:00 pm
Wednesday
9:00 am - 5:00 pm
Thursday
9:00 am - 5:00 pm
Friday
9:00 am - 5:00 pm
Saturday
9:00 am - 5:00 pm*
(Every Other)
Sunday
Closed

*Now Open Late